Lần đầu tiên trên thế giới, thay toàn bộ xương cánh tay “thiết kế riêng” sử dụng vật liệu siêu mới

Các bác sỹ của Trung tâm CTCH&YHTT Vinmec vừa phẫu thuật phục hồi thành công cánh tay cho một bệnh nhân ung thư xương. Đây là ca bệnh đầu tiên trên thế giới sử dụng kết hợp vật liệu giữa hợp kim titan và vật liệu y sinh PEEK,

Hành trình giữ lại cánh tay của chàng thanh niên 18 tuổi

Bệnh nhân V.T.Đ (18 tuổi, Hà Nội) xuất hiện đau cánh tay phải khi đang học lớp 12, đúng thời điểm cần tập trung ôn thi tốt nghiệp. Cơn đau dai dẳng khiến Đ. mất ngủ nhiều đêm. Mặc dù Đ. đã đi khám ở một số cơ sở y tế nhưng không phát hiện ra bệnh. Khi cánh tay sưng lên, em đến khám chuyên khoa về u xương và được chẩn đoán là bệnh ung thư xương hiếm gặp. Sau một thời gian tìm kiếm nhiều nơi, đều được khuyên cắt bỏ cánh tay để điều trị triệt để nhưng Đ. vẫn tin có "phép màu" nào đó để giữ lại cánh tay của mình. May mắn đến với em khi tìm tới nhóm chuyên gia của Trung tâm CTCH&YHTT Vinmec.

GS.TS.BS. Trần Trung Dũng - Giám đốc Trung tâm cho biết, đây là trường hợp tổn thương ung thư xương cánh tay hiếm gặp. "Khối u đã xâm lấn rộng toàn bộ ống tủy và phần mềm xung quanh, không còn khả năng cắt và bảo tồn một phần xương được nữa nên chúng tôi đã phải đưa ra một quyết định táo bạo. Đó là thực hiện phẫu thuật cắt bỏ toàn bộ xương cánh tay và khối u, đồng thời thay thế toàn bộ xương cánh tay bằng vật liệu nhân tạo dạng kết hợp để khắc phục nhược điểm của vật liệu kim loại"- GS.TS.BS. Trần Trung Dũng chia sẻ.

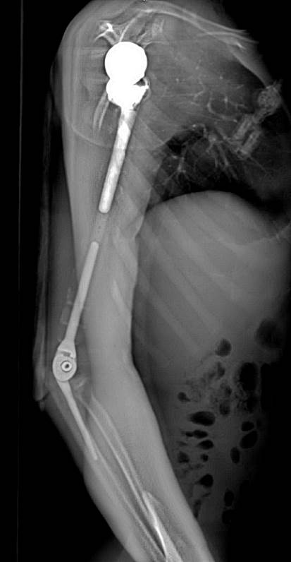
Ảnh chụp X-quang tay phải của bệnh nhân sau khi phẫu thuật thay xương toàn bộ cánh tay  
Ảnh chụp X-quang tay phải của bệnh nhân sau khi phẫu thuật thay xương toàn bộ cánh tay  

Nhóm phẫu thuật đã lên kế hoạch sử dụng các công nghệ trong tái tạo xương hiện đại nhất hiện nay bao gồm tái tạo lại cấu trúc khớp vai, cấu trúc khớp khuỷu bằng vật liệu hợp kim titan. Đặc biệt, đội ngũ bác sĩ của Trung tâm đã có một quyết định định táo bạo: không sử dụng hoàn toàn vật liệu kim loại mà chế tạo phần thân xương cánh tay sử dụng công nghệ in 3D vật liệu polyme sinh học (PEEK). Vật liệu này do phòng nghiên cứu ứng dụng công nghệ in 3D của Đại học VinUni sản xuất, giúp kết nối phần khớp vai và khớp khuỷu với nhau, đồng thời phục hồi lại điểm bám của các gân cơ quanh cánh tay. Đây được coi là một quyết định đầy tính sáng tạo dựa trên những nghiên cứu và thử nghiệm chuyên sâu từ nhiều ca bệnh đã thành công của ê-kíp phẫu thuật.

Ảnh chụp X-quang so sánh xương cánh tay 2 bên sau khi phẫu thuật  
Ảnh chụp X-quang so sánh xương cánh tay 2 bên sau khi phẫu thuật  

Đặc biệt, công nghệ in 3D được coi là công nghệ duy nhất hiện nay mang lại khả năng cá thể hóa các chi tiết cấy ghép. Nhờ công nghệ này, cả 3 phần của xương cánh tay nhân tạo đều được "thiết kế riêng" theo đúng kích thước cánh tay thật của bệnh nhân, đồng thời có các điểm cố định giúp khôi phục lại hệ thống gân cơ bám xương. Trước khi sản xuất, tất cả những thiết kế này đều được thử nghiệm mô phỏng khả năng vận động, chịu lực trên máy tính. Nhờ vậy, xương nhân tạo sau ghép sẽ tương thích tối đa, "hoàn toàn vừa vặn" với cơ thể người bệnh và thời gian phục hồi chức năng vận động của cánh tay sẽ được rút ngắn đáng kể.

Sau phẫu thuật, em Đ. đã có thể trở lại các hoạt động bình thường của cuộc sống, có thể dễ dàng cử động khớp vai, đưa lên cao, đưa sang ngang  
Sau phẫu thuật, em Đ. đã có thể trở lại các hoạt động bình thường của cuộc sống, có thể dễ dàng cử động khớp vai, đưa lên cao, đưa sang ngang  

Công nghệ kết hợp vật liệu độc đáo nhất thế giới

Ca phẫu thuật phục hồi cánh tay cho bệnh nhân V.T.Đ là ca bệnh đầu tiên trên thế giới sử dụng kết hợp vật liệu giữa hợp kim titan và vật liệu y sinh PEEK do các bác sỹ của Trung tâm CTCH&YHTT Vinmec thực hiện

Việc sử dụng kết hợp 2 loại vật liệu trên cùng một xương nhân tạo để tận dụng được ưu điểm tối đa: tính vận động chính xác, linh hoạt của hợp kim titanium tại vùng khớp, và đặc tính nhẹ, bền, tương thích với cơ thể của vật liệu PEEK. Nhờ vậy, trọng lượng cánh tay nhân tạo có thể giảm xuống còn 1 nửa và chi phí giảm tới hơn 1/3 so với việc chỉ dùng vật liệu kim loại như trước đây.

Sau phẫu thuật, em Đ. (người ngoài cùng bên trái) đã có thể viết, đánh máy bằng tay phải để tiếp tục theo đuổi ước mơ trên giảng đường, trở thành một kỹ sư công nghệ thông tin trong tương lai  
Sau phẫu thuật, em Đ. (người ngoài cùng bên trái) đã có thể viết, đánh máy bằng tay phải để tiếp tục theo đuổi ước mơ trên giảng đường, trở thành một kỹ sư công nghệ thông tin trong tương lai  

Sau 5 tháng phẫu thuật, bệnh nhân Đ. đã có thể vận động vai một cách linh hoạt, trở về sinh hoạt hàng ngày với cánh tay mới. Đ đã có thể tự tin viết bài, làm những việc nhẹ nhàng hàng ngày bằng chính đôi tay của mình, tiếp tục theo đuổi ước mơ của mình trên giảng đường đại học.

Đây là những cải tiến mới được đưa ra bởi chính các chuyên gia Việt Nam, được coi là trường hợp thay xương nhân tạo bằng vật liệu kết hợp thứ hai nhưng có những đột phá hơn hẳn ca đầu tiên (kết hợp giữa hợp kim titan và xi măng thường dùng trong xương nhân tạo). Đồng thời quá trình nghiên cứu và ứng dụng kĩ thuật cải tiến này đã được các bác sĩ gửi tới tạp chí khoa học uy tín về chuyên ngành ung thư tại châu Âu để công bố quốc tế. Thành công này bước đầu cho thấy trình độ điều trị ung thư xương cũng như ứng dụng công nghệ 3D trong y học của các bác sĩ Việt Nam ngày một nâng cao và từng bước được công nhận trên trường quốc tế.

Trung tâm CTCH&YHTT – Bệnh viện ĐKQT Vinmec là nơi quy tụ nhiều chuyên gia giàu kinh nghiệm, giỏi chuyên môn và tâm huyết, chuyên sâu trong nhiều lĩnh vực như phẫu thuật vùng vai, khuỷu; phẫu thuật thay khớp háng, khớp gối; phẫu thuật nội soi và y học thể thao; phẫu thuật ung thư xương và phần mềm. Trung tâm dưới sự dẫn dắt của GS.TS.BS. Trần Trung Dũng, giáo sư đầu ngành trong chuyên ngành Chấn thương chỉnh hình tại Việt Nam. Ngoài ra, phòng nghiên cứu ứng dụng công nghệ 3D do các bác sĩ của trung tâm điều hành là nơi phát triển và ứng dụng các công nghệ hiện đại, tiên tiến nhất trên thế giới góp phần vào chẩn đoán, điều trị, hứa hẹn sẽ mang đến lợi ích tối đa cùng chất lượng dịch vụ hoàn hảo cho các bệnh nhân không may mắc các vấn đề về cơ xương khớp.

PV

toquoc.vn
In bài viết
KinhDoanhNet

Cùng Chuyên Mục